Start a task
Overview
If you have been notified that you have tasks to complete in Flywheel, you will need to go to your task list to view the tasks available to you. The tasks that you are able to see in your tasks list depend upon your role and permissions in Flywheel. As a reader, you can only view tasks that are assigned to you or to a staffing pool that you belong to. As a study administrator, you can view all the tasks for the project that you are managing.
Note
Regardless of which tasks you can view in your task list, you can only complete a task if you are the assignee.
Open a task in the viewer
Once you have identified the task that you would like to start working on in your task list, you can open the task in the viewer. You can click on the "Launch Viewer" button that appears upon hovering on the task, or you can click on "Launch in Viewer" from the task card. The task will open in the Flywheel V3 viewer in a separate tab.


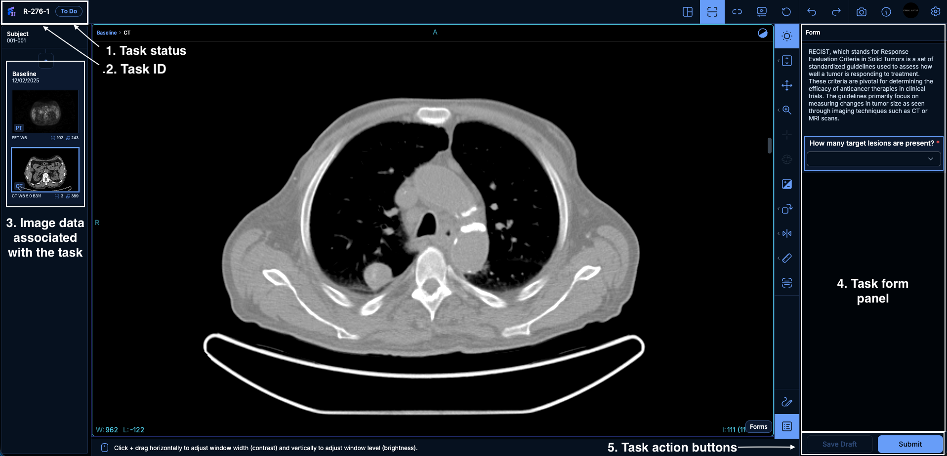
Task mode interface in the viewer
When a task is launched in the viewer, the interface is slightly different than when launching the viewer directly from a session. The main elements to be aware of are:
- The task status in the top left corner. Initial status is "To do"
- The task ID, also in the top left corner.
- The image data associated with the task in the left-side panel. This corresponds to the image data from the Flywheel container associated with the task e.g. if the task was created at the session-level, all image data from the session will be loaded there. If the task was created at the acquisition-level, only image data from the acquisition will be available. Users do not have the ability to load data that is not related to the container associated with the task.
- Task form panel. This is where the task form can be filled out.
- Task action buttons. Those are used to save progress on a task, or complete the task.

Troubleshooting
It can happen that an error occurs when trying to open a task. Below are the most common errors that could be encountered.
Authentication error
This error will be encountered if you are not currently logged in to Flywheel, for example if you're trying to access the task with the task URL without logging in first. To resolve the issue, login to Flywheel in a separate browser tab, then refresh the task tab.

Missing DICOM files
Viewer cannot open any files associated with the task
This error will occur when the Viewer cannot find any DICOM file to open from the container associated with the task. It could be that the task container does not contain any DICOM file, or that files have been moved or deleted. In that case, the task cannot be opened.

Viewer cannot open all DICOM files associated with the task
This error will occur when the Viewer can open at least one DICOM file from the container associated with the task but some DICOM files cannot be opened. Readers are prevented from opening the task.

Network error
This error will occur when the server cannot be reached. This could be due to a bad internet connection, or that there may be an issue with the server. Check your internet connection and then try to open the task again.
Viewer configuration is not valid
This error will occur when the viewer configuration file is invalid. Readers are prevented from opening the task. Study managers get a more detailed message about the issue to help troubleshoot.